dr.snuggles
zum ersten mal wurde in der charité eine geburt im mrt gezeigt. http://www.aerztezeitung.de/panorama/default.aspx?sid=632931
http://www.youtube.com/watch?v=woMgg5hmMGM ![]()
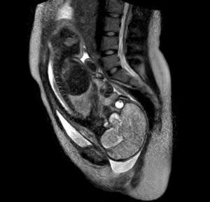
Hochinteressant! Nur stimmt m. E. die Bildunterschrift zum MRT-Bild nicht: "MRT-Bild von der Geburt: Der Kopf des Kindes liegt tief im kleinen Becken eingangs des Geburtskanals. Die Augen "blicken" auf die Wirbelsäule der Mutter". Also ich würde sagen, dass dieses Bild vor der Geburt gemacht wurde, denn der Kopf ist eindeutig noch oben - zumindest hängt da die Wirbelsäule dran ...;-)) Dann die Lunge. Das unten ist "tief im kleinen Becken" ist jedenfalls nicht das Kind. Würde ich selbst als absoluter Laie behaupten. Wie siehst Du das? LG Schlaflos
das is definitiv der kopf, der da im kleinen becken der mutter liegt.:) dieses weisse gebilde ganz unten ist die fruchtblase, die graue masse der kopf bzw. dsa gehirn des kindes und das auge vom zwerg sind ja mehr als deutlich zu sehen, das guggt sich grad das steissbein von mami an. von uns aus gesehn links ist die wirbelsäuke von zwerg,das graue haifischflossen ähnliche gebilde ist zwergens lunge, der schwarze fleck der bauch und danach kommt das kindliche becken.
Die letzten 10 Beiträge
- Und noch mal was zu unserem Innenminister und ein neues Gerichtsurteil
- Nachdem unser Innenminister am 29.04. zusammen mit dem Justiziministerium...
- Kernaussagen 'sämtlich unwahr': Nius hat Ramadan-Skandal erfunden
- Aktuell - der Wal
- Correctiv - Remigration - Gerichtsurteil
- Ungarn
- Ich lasse euch mal etwas zum Nachdenken da, gerade auf Linkedin gefunden...
- Erfahrungen Schüleraustausch Kanada
- Wahl-Sonntag in Deutschland - Nach-Wahl-Gedanken
- Ethik-Unterricht