Monatsforum September Mamis 2020

Frühschwangerschaft und Hämatom

September Mamis
Frühschwangerschaft und Hämatom

Knatzliese

Beitrag melden

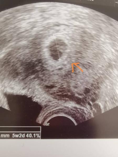
Hallo, Vielleicht kann mich jemand etwas beruhigen . Hatte am 10.04 überraschend positiv getestet, da ich eigentlich die Pille nehme . Wäre also bei 5+4. Habe seit vorgestern leichte Blutungen. Ich war gestern beim FA. Fruchthöhle und Dottersack zu sehen. Wir konnten bei genauem hinsehen auch leicht ein Herzchen schlagen sehen . FA meinte dann neben der Fruchthöhle wäre ein kleines Hämatom (siehe Bild). Soll alles etwas ruhiger angehen, nicht schwer heben, Magnesium nehmen. Progesteron hab ich abgelehnt, da in der letzten Schwangerschaft bei der Blutung in der 9 SSW. die Blutung mehr wurde an statt weniger (Ursache da war unklar). Was mach gerade wahnsinnig macht, ist dass das Blut mal da ist und mal nicht, also ich habe die Blutung nicht durchgängig. Das macht mich wahnsinnig. Man ich bin 41 Jahre alt und habe einen gesunden Sohn und höre mich gerade an wie eine unreife Frau . Aber bin so verunsichert. Liebe Grüße Katrin

Bild zu Frühschwangerschaft und Hämatom - Forum für September - Mamis

UBO1

Beitrag melden

Antwort auf Beitrag von Knatzliese

Oh du Arme!! Ich hatte das damals auch bei meinem Sohn, allerdings keine Blutungen, sondern nur das Hämatom nah an der Fruchthöhle. Und trotzdem große Sorgen! Damals war ich außerhalb Europas im Ausland und bin für einen ersten Ultraschall zu einem mir völlig unbekannten Arzt gegangen, dort wurde das Hämatom entdeckt. Und dieser Arzt war wunderbar. Er sagte, dass ich nichts ändern könne außer eben mich etwas zu schonen. Dass passiere, was eben passiere (dass es meistens gut ausgehe). Und dass man eben oft etwas findet, einfach weil man nachschauen kann. Ohne diese Technik wäre es zumindest in meinem Fall gar nicht entdeckt worden = keine Sorgen. Vielleicht klingt es blöd, aber seine so gar nicht deutsche Ruhe und Akzeptanz haben mich sehr beruhigt. Ich habe das Progesteron genommen, aber auch hier sagte er, sei es vor allem für meinen Kopf, also dass ich ruhiger werde. Ich drücke dich sehr und hoffe, du findest auch etwas Ruhe. Damit hilfst Du Dir und dem kleinen Punkt in Dir am meisten.


Lipstick

Beitrag melden

Antwort auf Beitrag von Knatzliese

Hallo, ich kann dich verstehen und dass man sich sorgen macht ist doch verständlich, egal wie alt man ist ich hatte in meiner Schwangerschaft auch ein Hämatom und von Anfang an Blutungen, auch als das Hämatom weg war, kam es noch 1-2x vor, habe auch Magnesium und Progesteron genommen. Und es ging zum Glück alles gut, habe aber auch immer gezittert, so bald mal wieder Blut da war


Knatzliese

Beitrag melden

Antwort auf Beitrag von Lipstick

Ich danke euch für die lieben Worte . Das positiv bleiben ist halt schwer. Damit der Kopf positiv bleibt, lass ich das Progesteron halt weg, da es bei meiner Schwangerschaft letztes Jahr halt mehr Probleme gemacht hat, als das es nützte. So unterschiedlich ist das . Schonen ist auch immer leicht gesagt, unser Elias ist sowas von mobil, er krabbelt wie der Blitz und will immer beschäftigt werden. Mein Mann ist zwar zu Hause, aber er arbeitet halt trotzdem seine 8h. Wir können jetzt nur abwarten, was der Ultraschall am 4.5 zeigt . Ich wünsche euch ein schönes Wochenende Katrin


UBO1

Beitrag melden

Antwort auf Beitrag von Knatzliese

Positiv und ruhig bleiben ist das eine. Viel wichtiger ist, denke ich, zu akzeptieren, dass du nichts ändern kannst und den Ausgang nicht beeinflussen. Ich weiß das ist höllisch schwer, aber mir hat es geholfen. Ablenken hilft auch Wünsche dir alles alles Gute!


Ell!um

Beitrag melden

Antwort auf Beitrag von Knatzliese

Na dann erstmal herzlichen Glückwunsch Ich komme ursprünglich aus dem Okt. 2020 und bin nun knapp im Sep 2021. Ich hatte zu Beginn dieser Schwangerschaft sehr starke Blutungen weshalb ich auch von meiner Periode ausging. Diese kam bis zur 12 ssw mal mehr mal weniger immer wieder. Bei mir wurde ebenfalls ein Hämathom rings um die Fruchthöhle festgestellt. Ich habe ebenfalls Progesteron abgelehnt, weil ich noch gestillt habe. Das Hämathom wurde immer kleiner und ist nun komplett weg. Nach den ersten starken Blutungen hatte ich in der 6 ssw Schmierblutungen, in der 8 noch mal leichte helle Blutungen und in der 12 ssw nochmal Schmierblutungen und jetzt gar nichts mehr. Mach dir nicht zu große Sorgen. Es wird sicher alles gut gehen


Ell!um

Beitrag melden

Antwort auf Beitrag von Ell!um

Ohhh der erste Smiley sollten auch Herzchen sein Wie gemein Ach aber dann möchte ich ergänzen: Mein FA sagte mir das es super häufig vorkommt das bei der Einnistung ein Hämathom entsteht und das überhaupt nichts zu heißen hat. Das das einfach absorbiert wird und teilweise etwas abblutet, aber dann von alleine verschwindet. Ich hab mir gar keine Gedanken gemacht, weil er es als so normal dargestellt hat. Ich habe mich also kein bisschen geschont, bin den ganzen Tag mit den kleinen in der Trage rumgelaufen und hab normal weiter gemacht. Glaub an dich und dein kleines Wunder. Ich hab mir immer gesagt, wenn es trotz Verhütung gekommen ist und sich bei den Blutungen festgehalten hat, warum sollte es jetzt noch gehen. Das will bestimmt besonders gerne leben und hält sich deshalb besonders gut fest. Alles alles Gute dir


Knatzliese

Beitrag melden

Antwort auf Beitrag von Ell!um

Ihr seit so lieb . Ich versuche positiv zu denken, was nicht jeden Tag leicht fällt . Schonung bekomme ich durch meinen Mann, der nimmt mir gerade sehr viel ab. Respekt habe ich nur vor der nächsten Woche, da er er 4 Tage im KH und ich mit Elias alleine. Aber du hast recht, wenn es trotz Pille geklappt hat und bis jetzt noch da ist, möchte der kleine Wurm wohl ein Geschwisterchen werden