Monatsforum Januar Mamis 2020

Ersttrimesterscreening

Ersttrimesterscreening

TanjaH.

Beitrag melden

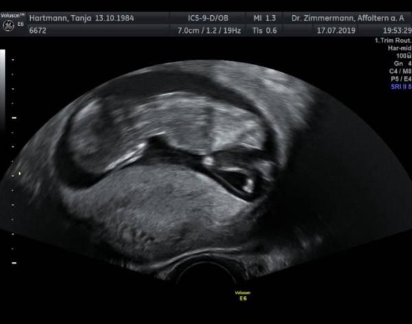
Guten Morgen ihr Lieben Gestern Abend war ich bei 12+1 beim Ersttrimesterscreening; Nackenfalte unauffällig, also alles bestens Herzchen schlägt auch ganz dolle Ob Schniepimann oder Mimmifrau konnte meine Frauenärztin noch nicht sagen. Zeigt doch mal her eure USB aus der 13.Woche

Bild zu Ersttrimesterscreening - Forum für Januar - Mamis

MarieE

Beitrag melden

Antwort auf Beitrag von TanjaH.

Schön, dass alles so super ist Und ein tolles Bild hast du auch bekommen Aus der 13. hab ich keins zum zeigen


TanjaH.

Beitrag melden

Antwort auf Beitrag von MarieE

Vielen lieben Dank für deine lieben Worte Von welcher Woche hättest Du denn ein Bild anzubieten?


Patty86

Beitrag melden

Antwort auf Beitrag von TanjaH.

Das freut mich das alles bestens ist Das heißt wohl nochmal abwarten ich hab erst nächste Woche wieder US. LG


TanjaH.

Beitrag melden

Antwort auf Beitrag von Patty86

Dann drücke ich Dir auch alle Daumen dass alles gut ist


Juliette-Baguette

Beitrag melden

Antwort auf Beitrag von TanjaH.

Ich würde tatsächlich sagen es ist ein Mädchen. Zwischen den Beinen ist so ein heller Strich. Damals erklärte mir der Arzt bei der NFM in der 13. Woche, dass wenn der strich anliegt es ein Mädchen wäre, steht er ab ein junge. Aber alles ohne Gewähr Ich bin morgen dran und schon super nervös!!!


TanjaH.

Beitrag melden

Antwort auf Beitrag von Juliette-Baguette

Ein Mädchen??? Ich erkenne da gar nix Strich Dann drücke ich Dir auch alle Daumen für morgen


Juliette-Baguette

Beitrag melden

Antwort auf Beitrag von Juliette-Baguette

Ich sehe es Halt mich mal auf dem Laufenden, ob ich recht habe.