naninanina
Hallo liebes Forum,
ich habe schon einige ähnliche Beiträge durchforstet und finde diesen lieben Austausch hier wahnsinnig toll. Daher traue ich mich nun selbst und würde mich so sehr über ein paar Erfahrungen, Bilder und Einschätzungen freuen!
Nachdem es eigentlich hieß, dass eine Schwangerschaft sehr schwierig wird (Gelbkörperschwäche) ist es nun passiert- wir sind so froh.
Wegen eines Verdachts auf ELSS (müsste eigentlich schon viel weiter sein, wurde aber zum Glück ausgeschlossen) bin ich nun schon so früh dort gewesen.
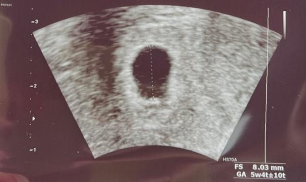
Leider ist die FH beim US bisher zweimal leer gewesen, allerdings gut gewachsen. Laut FÄ spricht nichts konkretes gegen eine intakte SS, ich sollte mir aber auch klar sein, dass es ein Frühabort/Windei sein könnte. Mein Bild hab ich diesmal trotzdem mitbekommen…
Die FH ist ca 8mm groß und ich wurde auf 5+4 datiert, obwohl meine Periode wie gesagt eigentlich ca 9ssw vorgibt.
Ich bin mit dieser Aussage total überfordert und analysiere das US Bild natürlich.
Was meint ihr?
Ich danke euch jetzt schon für ein paar liebe Worte
wer hätte gedacht, wie nervenaufreibend diese Wartezeit ist…
Liebe Grüße Nina

Hey, erstmal herzlichen Glückwunsch
Diese Warterei lehrt einen wirklich Geduld
Bin jetzt nicht so erfahren, wie andere hier, aber möchte Die dennoch viel Mit zusprechen. Ist doch gut, wenn die FH wächst, oder?
So wie ich das bis jetzt verstanden habe, kann der ES locker mal (auch sehr viel) später sein, genauso wie es sein kann, dass sich der Embryo einfach versteckt (Eckenhocker). Es ist bestimmt noch alles möglich, ich wünsche Dir auf jeden Fall nur das Beste!
Huhu,
Also ich durfte heute bei 6+2 das Herzchen sehen aber nach sehr langem suchen Wie auch bei meiner Tochter ist der Embryo ein Eckenhocker. Ich drücke dir die Daumen
Wann wäre der nächste Termin?
Ich wünsche es mir so sehr… Morgen in einer Woche soll ich wieder hin, also am 30.10.
Grad rief die Vertretung meiner FÄ an, dass mein HCG Wert wohl auf 7900 gestiegen wäre (von 2800). Meine FÄ hatte diesen am Freitag noch abgenommen.
Die Vertretung meinte dann nochmal, dass man bei diesem Wert aber am Freitag definitiv etwas hätte sehen müssen, ob ich bereits aufgeklärt wurde, was das bedeutet.
Ich bin verzweifelt, ich hab so oft gelesen, dass der HCG Wert gar nicht so viel darüber aussagt, wie viel man „sehen sollte“…
Danke für eure Antworten aber schon mal
Grad nochmal gelesen, dass du es heute sehen durftest - herzlichen Glückwunsch!!! Das muss so ein wunderschönes Gefühl sein, ich freue mich sehr für dich!
Warst du auch vorher bereits beim FA und hattest auch eine leere FH? Oder war das dein erster Termin?
Liebe Nina, ich bin nun wirklich keine Expertin, finde es aber unmöglich von Deiner FA, Dir so eine Angst zu machen! Verstehe ihren Beweggrund auch nicht. Nach allem, was man (auch hier im Expertenforum) liest, ist der HCG-Wert gar nicht wirklich aussagekräftig. Bei mir wurde er einmal abgenommen bei ca. 4+4, da war er knapp über 500 und das bedeutete halt für die FA nur, dass ich wirklich schwanger bin. Weiter hat meine FA nie HCG abgenommen (zum Glück, hätte mich nur verrückt gemacht im Zweifel). Bei 5+4 hat man bei mir auch keinen Herzschlag gesehen, nur einen Mini-Embryo (ca. 1,5 mm nach viiiiel Suchen). Mein HCG kann ja auch nicht über 8.000 gewesen sein, wenn er sich alle 2-3 Tage verdoppelt... Meine FA hat aber auch schon vor dem US gesagt, dass wir vermutlich nichts sehen. Eine Woche später war das Herzchen sogar für mich deutlich zu sehen. Hab Geduld. Sämtliche seriöse Lektüre und auch die Experten hier schreiben, dass das Herz erst in der 7./8. Woche zu sehen ist. Und selbst da gibt es Ausnahmen.
Danke für deine liebe und ausführliche Rückmeldung!
Ich bin auch etwas fassungslos, je mehr ich über diese Aussage nachdenke… und das auch noch per Telefon.
Liebe Grüße und alles Gute dir
Es war mein erster Termin. Ich hätte auch schon letzten Freitag kommen können aber sie meinte klar und deutlich zu mir die Wahrscheinlichkeit ist sehr hoch, dass man noch kein Herz sehen kann (da wäre ich 5+6 gewesen). Also habe ich dann bis Montag gewartet und es war mein erster Termin.
Das erste was sie zu mir gesagt hat war "Oh das ist aber viiiiel früher als 7ssw". Ich bin mir aber zu 99% sicher wann der ES war und habe schon mit dem schlimmsten gerechnet. Dann hat sie aber nochmal gedreht und gedreht und zum Glück doch einen kleinen Eckenhocker gefunden.
Warte erstmal ab. Noch darfst du meiner Meinung nach Hoffnung haben drücke dir ganz fest die Daumen und berichte gerne
Ach und ich habe auch eine Gelbkörperschwäche und muss 3x täglich Famenita 200mg Vaginal einführen
Oh man, was für ein Glück!!! Das freut mich sehr, dass du etwas sehen konntest
Ich versuche auch positiv zu bleiben, aber eben doch nicht „zu positiv“… komischer Zwischenzuszand, heute ist es schwerer als die letzten Tage, warum auch immer.
Danke fürs Daumen drücken- vielleicht haben wir ja Glück.
Hallo wie ist es eigentlich ausgegangen ?