GroßfamilieMone
Bin sehr froh das man heute schon die Fruchthöhle gesehen hat, denn eigentlich dachte Ich das heute 5+4 SSW ist, er hat mich aber zurück datiert in die 5ssw weil man noch keinen Herzschlag oder Ähnliches gesehen hat...
Aber soweit alles in Ordnung und das ist ja die Hauptsache!
Komisch fand ich nur als er mir sagte wenn man genau hin schaut sieht man auch schon den Inhalt. Ich allerdings sehe dort zwei Punkte, oder täusche ich mich?! Was seht ihr?
Zwillinge wäre ein Traum
Nächsten Freitag hab ich den nächsten Termin, hoffentlich wird es dann eindeutig sein *hibbel*

ja süß, aber irgendwie erkenn ich wenn nur 1 punkt kommt aber evtl auch blitzlicht ?? muss mich erstmal wieder an us bilder gewöhnen ;-)
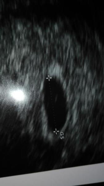
Ich glaub ich habe das falsche Bild genommen, hier nochmal:

ahhhhhhhhhhhh aslo auf dem seh ich jetzt nur 1 auch. lassen wir uns mal überraschen beim nä termin
Freut mich zu hören das alles in Ordnung ist
Lg Susi
In meiner vorhergehenden Schwangerschaft hat man bei 5+4 auch keinen "Inhalt" oder Herzschlag gesehen. Bei 6+5 dann beides ganz deutlich :) hast du schon deinen Mutterpass bekommen? Lg :)
Ja Mutterpass hab ich schon, weil wir meinen alten noch verwenden können. Ist aber nicht viel dribi...
Die letzten 10 Beiträge
- Schaut hier jemand von uns noch hinein?
- Auch von mir ein Hallo
- "Ich bin jetzt kein Baby mehr"
- Unser Forum ist wohl eingeschlafen...
- Klopf... Klopf...
- unser zweiter Sohn ist da
- Schwierigkeiten beim Ausweisbeantragen - kennt ihr sowas?
- Schwierigkeiten beim Ausweisbeantragen - kennt ihr sowas?
- Auch ein Hallo
- Frohes neues Jahr und Liebe Grüße auch von uns ...