Monatsforum April Mamis 2020

Heute FA-Termin gehabt

Heute FA-Termin gehabt

Saphira2013

Beitrag melden

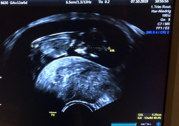
Heute war die erste große Untersuchung. Es war alles super. Ich konnte die zwei Gehirnhälften sehen und die Wirbelsäule . Das kleine hat geschlafen, sie hat es dann geweckt um es noch von der Seite zu sehen, davor nur von vorne. War unglaublich süß, bin total verliebt. Es ist 5,2cm groß

Bild zu Heute FA-Termin gehabt - Forum für April - Mamis

@ni

Beitrag melden

Antwort auf Beitrag von Saphira2013

Das hört man doch gerne Ich finde es immer wieder erstaunlich, was man schon alles sehen kann, obwohl sie noch so winzig sind.


Dani3112

Beitrag melden

Antwort auf Beitrag von Saphira2013

Schön, dass alles in Ordnung ist!!! Es ist so unglaublich, was man bei den kleinen Wesen schon alles sehen kann!! Ich könnte dem Zwerg am US auch stundenlang zuschauen