Elternforum Schwanger - wer noch?

Wer kann das Geschlecht deuten?

Rund ums Baby Adventskalender 2025
Wer kann das Geschlecht deuten?

Dimholt

Beitrag melden

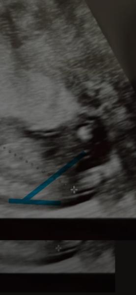
Hallo, letztendlich ist es uns egal ob Junge oder Mädchen. Aber wir sind natürlich tierisch neugierig 😁 US ist von der 16. SSW - könnt ihr etwas erkennen? 

Bild zu Wer kann das Geschlecht deuten? - Schwanger - wer noch? Rund um die Schwangerschaft

misses-cat

Beitrag melden

Antwort auf Beitrag von Dimholt

Sorry aus der Position sieht man nichts 


Dimholt

Beitrag melden

Antwort auf Beitrag von misses-cat

Dachte ich mir, danke 😄


Cleo92!

Beitrag melden

Antwort auf Beitrag von Dimholt

Guten Abend Dimholt,  Also... Mit riiiichtig viel Phantasie und keinem gelernten Blick. Köööönnntteee ich vermuten, dass es ein Junge wird.  Es ist natürlich nur Spielerei jetzt und das Bild ist leider echt nicht optimal. Aaaaber hab dir einfach mal angezeichnet. Wenn diese beiden Striche doch der sagenumwobene Nub ist, könnte es wie gesagt auf einen Jungen hindeuten.  Und hoffe jetzt natürlich sehr, wenn du es irgendwann mal ein professionelles Outing gibt, dass du es mit uns teilst. Bin jetzt richtig neugierig 🤭 Liebe Grüße Cleo

Bild zu

Dimholt

Beitrag melden

Antwort auf Beitrag von Cleo92!

Hallo liebe Cleo, viiiiieeelen Dank für deine Einschätzung und die Zeichnung, das ist ja interessant, auf die Idee bin ich gar nicht gekommen 😄. Laut Ramzi in meinem 1. US wäre es vermutlich auch ein Junge.    Im Oktober ist die Feindiagnostik, da werden wir es hoffentlich erfahren und dann gebe ich hier auf jeden Fall nochmal Bescheid 🩷🩵


Cleo92!

Beitrag melden

Antwort auf Beitrag von Dimholt

Ich bin auch nur darauf gekommen, da mich tatsächlich die Ärztin beim Ersttrimesterscreening auch darauf aufmerksam machte. Sie sagte uns sie dürfe so früh nichts sagen und sie ist sich nicht komplett sicher.  Aber dass die in der Praxis auch nach diesem Vortsatz gucken und zeigte dann im schall: wenn es parallel verläuft, dann deutet es eher auf ein Mädchen hin. Bei einem Jungen würde es dann abstehen und nicht parallel zur Wirbelsäule verlaufen (und bei meinem Mäuschen verlief es definitiv parallel, da stand nichts ab).  Zuhause hab ich mir daraufhin suuuper viele Bilder und Videos angeguckt 😄 und dann sehe ich auf einmal hier im Forum dein Bild und dachte: ich glaub mich tritt ein Pferd  P.s. bei meinem aller ersten Ultraschall Bild bin ich mir tatsächlich nicht ganz sicher, ob es definitiv von oben ist. Wenn es das wäre, dann wäre es tatsächlich auch laut Ramzi ein Mädchen (man muss da halt echt gucken welche Ultraschall Einstellungen da sind, viele sagen es stimmte bei Ihnen nicht. Aber super oft kann man garnicht richtig deuten ob es jetzt die richtige Ansicht ist)  Find das echt super interessant und bin echt neugierig was uns unsere Mäuse die nächste Zeit zeigen werden. Und werde mich auch melden, wenn ich genaueres weiß 🤭. Ich freue mich einfach nur unfassbar, dass bisher alles so gut verlaufen ist und auch bei Praenatal das kleine keine Auffälligkeiten zeigte. Hätte vorher tatsächlich nie gedacht so mal zu denken, weil ich vor der Schwangerschaft ein "Wunsch Geschlecht" hatte und seit der Schwangerschaft einfach nur bei jedem Termin hoffe, dass alles gut ist. Egal was es ist 


Dimholt

Beitrag melden

Antwort auf Beitrag von Cleo92!

Liebe Cleo, du hast ein super Auge und deine Einschätzung war richtig. Es ist ein Junge 🩵 In der Feindiagnostik war es gleich das Erste was unser Bub in die Kamera gehalten hat, keine Zweifel hahaha. Zum Glück sind auch alle Werte der Untersuchung top! Was eine Erleichterung.    wie verläuft es bei dir? Ist bezüglich Geschlecht schon sicher, dass es ein Mädchen ist? ☺️