Elternforum Erster Kinderwunsch

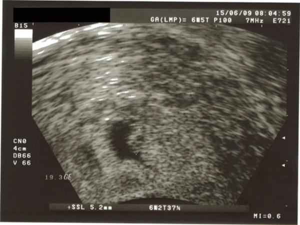
wer Bildchen von heute früh gucken mag....

wer Bildchen von heute früh gucken mag....

Mitglied inaktiv

Beitrag melden

kann das jetzt tun, habs endlich hinbekommen! Ich wünsch euch einen schönen Abend!

Bild zu wer Bildchen von heute früh gucken mag.... - Kinderwunsch - was tun, um schwanger zu werden?

Mitglied inaktiv

Beitrag melden

Antwort auf diesen Beitrag

Voll toll, aber nahezu unglaublich, dass daraus in 9 Monaten ein süßer kleiner Zwerg wird... freu mich voll für dich... vlg Manu


Mitglied inaktiv

Beitrag melden

Antwort auf diesen Beitrag

Es ist bestimmt super toll das erste Bild zu haben. Freut mich für dich. Sieht für mich ganz komisch aus kann gar nix erkennen. (ist nicht böse gemeint)


Mitglied inaktiv

Beitrag melden

Antwort auf diesen Beitrag

Ja nicht wahr.. ich seh da auch nur lauter Pixel... das das eine Leben sein soll.. echt faszinierend!!! Bin auch gespannt wie das weitergeht..


Mitglied inaktiv

Beitrag melden

Antwort auf diesen Beitrag

Maria, in der wievielten Woche bist du nochmal????


Mitglied inaktiv

Beitrag melden

Antwort auf diesen Beitrag

Süss der kleine krümel wünsche euch ganz ganz viel glück


Mitglied inaktiv

Beitrag melden

Antwort auf diesen Beitrag

Denke sie müsste in der siebten Woche sein, unter dem Bild steht 6W 2T, also sechs Wochen und zwei Tage... Liebe Grüße, pipa


Mitglied inaktiv

Beitrag melden

Antwort auf diesen Beitrag

genau, bin heute letzter Tag der 7 SSW. das was unter dem BIld steht ist das was gemessen wurde, von der Größe des Kleinen her. Der Fa sagt das es sich in der größe noch ungenau messen lässt, und daher keine Rolle spielt ob es ein paar Tage mehr oder weniger sind.