Monatsforum September Mamis 2012

Wollt mal Bilder zeigen :-)

September Mamis
Wollt mal Bilder zeigen :-)

JuliaA

Beitrag melden

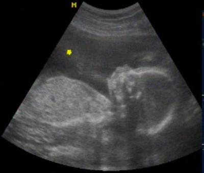
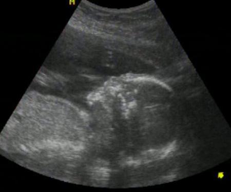
Huhu, die Bildchen sind zwar schon vor einer Woche gemacht, aber ich hatte bisher keine Zeit, sie zurecht zu schneiden... Voilà - der kleine Mann :-) Gruß, Julia

Bild zu Wollt mal Bilder zeigen :-) - Forum für September - Mamis

JuliaA

Beitrag melden

Antwort auf Beitrag von JuliaA

Hier sieht man das Gesicht halb schräg von oben - ich finde, man kann voll gut die Augen sehen, die ja zu der Zeit wegen des fehlenden Fettgewebes noch so hervorstehen - und sie sind ja noch geschlossen... :-)

Bild zu

Stephie1411

Beitrag melden

Antwort auf Beitrag von JuliaA

Schöne Bilder hast du da bekommen. Ich frag mich nur gerade, ob das nur so aussieht oder ob es wirklich so ist, dass mein kleiner Schatz im Gegensatz zu deinem total dick auf den Fotos aussieht. Wie schwer ist er denn? Liebe Grüße