Monatsforum Juli Mamis 2021

Heute Termin bei 5+2

Heute Termin bei 5+2

Wuuunschkind2018

Beitrag melden

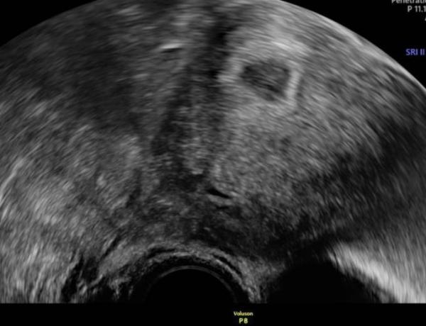
Heute war ich zum ersten Termin , sie wollte mich so früh sehen wegen Schilddrüse, zur Blutabnahme usw. Sie sagte soweit sieht alles super aus und das man noch nicht mehr sieht wie auf dem Foto sei auch völlig normal , darf vor Weihnachten noch mal kommen

Bild zu Heute Termin bei 5+2 - Forum für Juli - Mamis

Tante_Erna

Beitrag melden

Antwort auf Beitrag von Wuuunschkind2018

Super, das ist doch eine erste Erleichterung, wenn alles da ist, wo es hin soll Wann ist dein nächster Termin? Ich bin ungefähr ähnlich weit (irgendwas zwischen 5+0 und 5+2) und gehe am 10.12. das erste Mal zum FA.


Vani22w

Beitrag melden

Antwort auf Beitrag von Wuuunschkind2018

Hey sieht ja fast wie meins aus und weiß noch nicht ganz welche Woche außer das Periode Rechnung nicht hinhaut

Bild zu

Wuuunschkind2018

Beitrag melden

Antwort auf Beitrag von Vani22w

Mein nächster Termin ist der 14.12 , danach ist dann ja erstmal Weihnachten und Jahresende und dann im Januar wieder . Ich finde meine Fruchthöhle ist gar nicht so schön rund , sehe immer nur Bilder wo sie so schön rund ist.