Maikäferchen2012
Und soooo glücklich. Alles ist so wie es sein soll und das Herzchen hat auch schon geschlagen
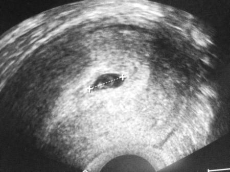
mein Mini ist jetzt 2mm und die Fruchthöhle bei 1,32 cm (laut US 6+1) und ab heute bin ich in der 7. SSW

Und noch eins

oh toll das freut mich für dich
Ohhhhh das ist toll Halt den bauchzwerg schön fest. Wann musst du wieder hin ?
Am 06.06. also noch ewig dann bin ich schon in der 10. SSW
Oh je das ist ja wirklich noch ewig ... Aber du hast das Herzchen bubbern sehen also geht es dem Zwerg gut. Genieß die zeit.
Ja, jetzt bin ich definitiv beruhigter. Hätte nicht gedacht, dass man es heute schon sieht.
Tolle Bilder und welch ein Glück, dass man das Herz schon schlagen sehen konnte.
Wünsche Dir weiterhin alles Gute!
Super, freut mich, dass alles in Ordnung ist!
Toll das freut mich für dich. Ich hatt heut früh auch meinen 1. Termin. Bin auch so doll glücklich! Ich bin 6+2 und mei Krümelchen ist 5,3mm mit ner fruchthöhle von 1,5cm :)
Wie schön, dann sind wir fast gleich. Freu mich mit dir. Hast du auch ein Bildchen? Sieht man bestimmt schon besser das Pünktchen, oder?
Ja habe auch ein Bildchen, aber es sieht man auch nicht genau. Aber des Live-Bild war es beste :D :D
Oooooooh ist das toll, freut mich
Oooooooh ist das toll, freut mich