WunschMaus
Ich hatte heute mein Erst Trimester Screening mit Nackenfaltenmessung und Blutabnahme. Ich weiß das viele hier dagegen sind, aber es war soooo toll und ich bin echt beruhigt! Nackenfalte ist 1,04 mm (ab 2mm ist bedenklich).
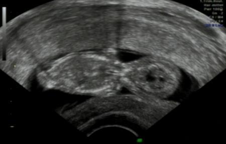
Es wurde ganze 20 Minuten Ultraschall gemacht und der Arzt hat uns jede Kleinigkeit gezeigt und erklärt. Das Krümelchen hat gezappelt wie verrückt und sich von allen Seiten gezeigt, hätte garnicht gedacht das die jetzt schon so aktiv sind Es ist jetzt 4,95cm groß ssl und hat einen Kopfdurchmesser von 1,72cm. Der Arzt meinte die kritische Zeit ist jetzt vorbei
laut Ultraschall Gerät bin ich 12+1 und nicht 11+1 aber wir warten erstmal ab bevor der ET geändert wird.
Für alle die sich sorgen machen weil die Symptome auf einmal weg sind:
Ich hatte von anfang an Unterleibsziepen und ab der 7. Ssw Übelkeit. In der 10. Ssw hat es auf einmal sehr stark nach gelassen und seid der 11. Ssw ist alles ganz weg auch das Brustspannen. Hatte deswegen echt sorgen! Aber es ist alles bestens! Vielleicht beruhigt das die ein oder andere hier etwas
Ich versuche mal mein Ultraschall Bildchen anzuhängen

Sehr schönes Foto und toll, dass alles in Ordnung ist! Hatte bei meiner Tochter auch das Erst-Trimester-Screening und habe meinen Termin in 2 Wochen. Auch ich möchte gerne wissen, ob mit meinem Baby alles in Ordnung ist, weil ich dann einfach beruhigter bin und die SS entspannter genießen kann...
Herzlichen Glückwunsch! :-)
wow, ist ja echt schon groß Glückwunsch!