Monatsforum April Mamis 2014

Wow..

Wow..

Jessi1992

Beitrag melden

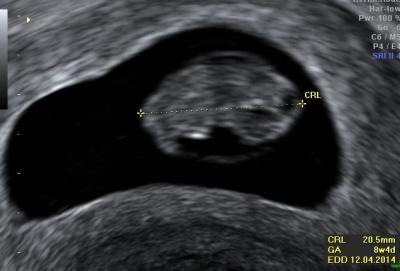
Wooow Das Herz schlägt und es ist 2,5 cm groß :) Es war so unbeschreiblich schön :) jetzt bin ich so glücklich. Alles richtig entwickelt sagt er :) anbei ein Bild :)

Bild zu Wow.. - Forum für April - Mamis

Mitglied inaktiv

Beitrag melden

Antwort auf Beitrag von Jessi1992

Wunderschönes Bildchen! Weiter so!!!


Maja86

Beitrag melden

Antwort auf Beitrag von Jessi1992

Wouhooo herzlichen Glückwunsch!!!! Tolles Bild:-)


Maja86

Beitrag melden

Antwort auf Beitrag von Jessi1992

Ist dein Dottersack schon weg?


August11-Mami

Beitrag melden

Antwort auf Beitrag von Jessi1992

Schönes Fotos. Mein Foto von heute sieht ähnlich aus. Mein Würmchen ist 2,07 cm. groß. Ich hab mich auch gefragt, wo der Dottersack ist. Aber wahscheinlich hätte man ihn aus einer anderen Perspektive gesehen.


Jessi1992

Beitrag melden

Antwort auf Beitrag von Jessi1992

Ne Dottersack war da unten rechts erkennt man auf dem Foto nicht. Und die Nabelschnur habe ich gesehen :) geht der Dottersack weg?


August11-Mami

Beitrag melden

Antwort auf Beitrag von Jessi1992

Ja, so um die 12. SSW rum übernimmt die Plazenta voll die Versorgung und der Dottersack verschwindet.


Jessi1992

Beitrag melden

Antwort auf Beitrag von Jessi1992

Achso :) den habe ich gesehen. Das Tat aber ganz schön weh und hab bissl Geblutet nach der Behandlung .. Aber es war so schön :) dein Bild sieht auch süß aus :)


August11-Mami

Beitrag melden

Antwort auf Beitrag von Jessi1992

Danke. :-) Wie weit bist du genau?


SwettyL

Beitrag melden

Antwort auf Beitrag von Jessi1992

Hammer Bild! Echt schön ich freue mich mit dir


Steinböckchen

Beitrag melden

Antwort auf Beitrag von Jessi1992

Ach ist das ein schönes Bild!!!!!!!!!