Monatsforum April Mamis 2014

US-Termin heute

US-Termin heute

August11-Mami

Beitrag melden

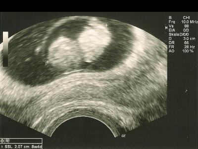
Hallo zusammen, ich war ja heute beim US. Mein Würmchen ist 2,07 cm groß und hat grade geschlafen. Herzchen hat aber eifrig geschlagen und ich bin mal wieder beruhigt.

Bild zu US-Termin heute - Forum für April - Mamis

Lynnibin

Beitrag melden

Antwort auf Beitrag von August11-Mami

Toll dass alles so ist, wie's sein sollte LG


Maja86

Beitrag melden

Antwort auf Beitrag von August11-Mami

Schön, dass alles supi ist!!! Schönes Bild:-)))


popeye29

Beitrag melden

Antwort auf Beitrag von August11-Mami

Schön, genauso sah es bei mir gestern auch aus. Toll wie sich die Würmchen entwickeln!


schäfchen187

Beitrag melden

Antwort auf Beitrag von August11-Mami

Schön. Süßes Bild. Ich bin schon ganz ungeduldig, weil ich meinen nächsten erst am 17.09 hab.


SwettyL

Beitrag melden

Antwort auf Beitrag von August11-Mami

Mensch... du hast auch so ein schönes Bild ich freue mich mit dir!


Steinböckchen

Beitrag melden

Antwort auf Beitrag von August11-Mami

Klasse!!! Weiter so!!!!!!!!!