Monatsforum Mai Mamis 2026

Dickbauchdienstag verpasst - dann wird es halt ein Murmelmittwoch 🤰🏼😁

Dickbauchdienstag verpasst - dann wird es halt ein Murmelmittwoch 🤰🏼😁

Susuba

Beitrag melden

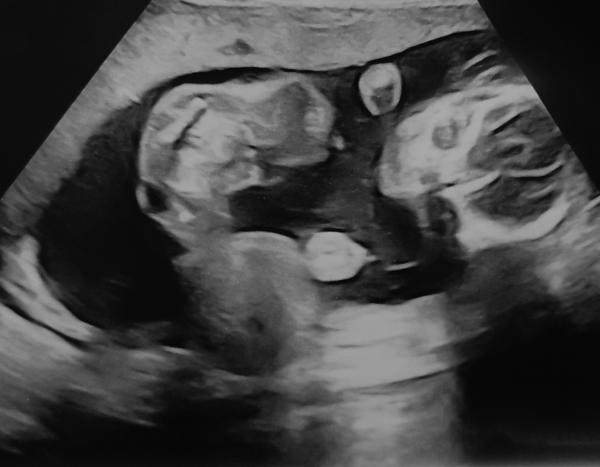
Hallo ihr Lieben, wir haben den Dickbauchdienstag ausgelassen! 🫣 Ich nehme an, es ist hier so ruhig geworden, weil alle mit den Weihnachtsvorbereitungen beschäftigt sind. Nichtsdestotrotz dachte ich mir, ich mache halt ausnahmsweise mal einen Murmelmittwoch daraus. ☺️ Vielleicht mag ja doch noch die eine oder andere berichten, was es bei ihr so Neues gibt. Wir hatten gestern das 2. große Screening mit dem erweiterten Organultraschall. Es war so schön zu sehen, wie toll sie sich entwickelt. Wir haben auch endlich das lang ersehnte Profilbild von ihr bekommen. 😍 Bislang hatte sie ihr Gesicht ja immer fleißig weggedreht. Ihre Größe und Gewicht übertrifft allerdings bei weitem dem, was für die 19. Woche üblich gewesen wäre. Sie ist mit den meisten gemessenen Werten bereits beim Durchschnitt der 22. Woche, da waren wir schon etwas baff. Sie wiegt aktuell 340g auf 24cm Länge, gerechnet haben wir aber eher mit 18cm und 230g. 😄Smiley nr152.gif Da der Diabetes ja aber bereits vorerst ausgeschlossen wurde, machen wir uns da keine Sorgen. Im Gegenteil, sie wächst und gedeiht so gut, das beruhigt uns sehr und kann ja eigentlich nur ein gutes Zeichen sein. 🍀 Ihr Kopfumfang ist schon bei 18cm, ich hoffe mal der steigt bis zum Ende der Schwangerschaft nicht übers Durchschnittsmaß hinaus, sonst gibt's vermutlich richtig dolles Aua. 🫣😁 Meine Ärztin hat es sogar (wahrscheinlich das letzte Mal) geschafft, noch die SSL zu erfassen - 14cm, was bedeutet ihre langen Beinchen haben schon 10cm.Smiley nr152.gif Ansonsten waren die restlichen Werte auch alle top, einmal haben wir sogar gesehen wie sie gerade einen Schluck Fruchtwasser getrunken hat. Das Herzchen mit seinen Herzkammern und - klappen konnten wir auch gut beobachten, wie sie sich öffnen und schließen. Die Plazenta ist mittlerweile auch wieder ein weiteres kleines Stück vom Muttermund hochgerutscht, sodass aktuell ein Abstand von 5cm ist. Alles in allem war der gestrige Ultraschall also sehr beruhigend und schön. 🩷​ Bis auf eine Sache, die mir leider erst später aufgefallen ist und ich meine Ärztin nicht mehr fragen konnte, die Plazenta betreffend. Aber dazu mache ich einen extra Post. Letzte Woche hatte ich ja noch geschrieben, dass ich hoffe die Maus macht ​​​​​sich bald wieder häufiger und/oder stärker bemerkbar. Einen Tag später war es dann tatsächlich soweit. 😁 Sie tritt und drückt und boxt seitdem stärker und regelmäßiger, sodass ich sie jetzt endlich jeden Tag mehrmals spüren kann. Vorher war es ja eher sporadisch mal ganz sachte. Von außen ist sie seitdem nun aber auch mit etwas Glück, wenn sie gerade wild umher turnt, leicht zu sehen und zu spüren, was mich natürlich besonders für meinen Mann und Kind 1 freut. ♥️  Auch wenn die vielen positiven Sachen natürlich überwiegen, habe ich leider auch nicht so schöne Begleiterscheinungen. Der Rücken macht mir ja schon länger Probleme, nun kam aber noch die Symphyse dazu. Ich kann manchmal kaum bzw. nur mit sehr viel Mühe laufen, die Beine heben oder Treppensteigen, so doll schmerzt sie dann. Deshalb habe ich jetzt einen Gurt verschrieben bekommen, den ich zur Entlastung anlegen kann. Ich hoffe, das hilft wenigstens etwas. Generell soll ich es ruhiger angehen lassen und das Magnesium erhöhen, da die Gebärmutter an sich schmerzt und mein Bauch manchmal auch schon hart wird. Der Gebärmutterhals ist zwar noch reichlich lang (4,6cm), aber sie meinte das könne manchmal recht schnell in die andere Richtung gehen, wenn man sich nicht ausreichend schont. Das war es erstmal von meiner Seite, ich hoffe es geht euch allen gut und dass ihr nicht zu stressige Vorweihnachtstage habt. 🍀 Von mir gibt es heute mal kein Bauchbild, sondern eine kleine Auswahl vom gestrigen Ultraschall. ☺️ Viele Grüße,  Susuba, 19+0

Bild zu Dickbauchdienstag verpasst - dann wird es halt ein Murmelmittwoch 🤰🏼😁 - Forum für Mai - Mamis
Bild zu Dickbauchdienstag verpasst - dann wird es halt ein Murmelmittwoch 🤰🏼😁 - Forum für Mai - Mamis
Bild zu Dickbauchdienstag verpasst - dann wird es halt ein Murmelmittwoch 🤰🏼😁 - Forum für Mai - Mamis

Miramar07

Beitrag melden

Antwort auf Beitrag von Susuba

Hallo meine Liebe,  das sind doch tolle Neuigkeiten zur Entwicklung. Ich bin kein Profi aber ich glaube das was da als Riss in der Patents zu sehen ist, ist der Bildgebung geschuldet und da ist nichts. Wäre das etwas Schlimmes hätte die Ärztin es nicht übersehen können, wenn es uns allen deutlich ins Auge springt. Ich glaube es wird jetzt immer spannender die Größe betreffend wenn mehrere Messungen gemacht werden können und man sie mit den vorherigen Messungen, beim gleichen Arzt vergleichen kann. Dann kommt man ja auf eine individuelle Kurve. Die Babys wachsen ja in Schüben, vielleicht hatte eure Kleine gerade einen Schub und wächst jetzt wieder ein paar Tage wenig und dann wieder mehr usw. Vielleicht war unser Kleiner bei der letzten Messung wirklich so ungünstig zu messen und hatte danach einen Schub.    Ich habe auch oft Unterleibsschmerzen, vor allem im Stehen und beim Gehen, ich soll Magnesium nehmen. Es waren zwei anstrengende Wochen, das Schlimmste haben wir erstmal geschafft. Mehr Entspannung und Ruhe wird gut tun. Die Symphyse *klopfaufholz* merke ich noch nicht. Das war in der letzten Schwangerschaft sehr schmerzhaft.    Ich merke den Kleinen seit 2 Tagen jetzt immer mehr und bin mir auch sicher, dass es das Baby ist. Das ist so ein Geschenk! Ganz liebe Grüße


Susuba

Beitrag melden

Antwort auf Beitrag von Miramar07

Auf jedenfall, ich finde die Sprünge zwischen den Ultraschallterminen echt enorm. Bezüglich der Plazenta hoffe ich wirklich du hast recht, ich will das auch glauben aber dann kommen doch wieder ein paar Momente der Unsicherheit immer wieder mal eingeschlichen.  Das stimmt an sich und wir dachten auch erst es liegt womöglich an Schüben. Da sie aber anfangs nur ein paar Tage weiter war, danach schon eine Woche und mittlerweile sogar schon zwischen zwei und drei Wochen kann das ja schon fast gar nicht mehr sein. Wir haben auch mal mit Kind 1 verglichen, da war das 2. große Screening in der 22. Woche und wirklich bei allen Werten ist die Maus jetzt schon weiter als Kind 1 damals, obwohl das Screening diesmal drei Wochen früher stattfand. Ich glaube wir können uns also wirklich auf ein größeres Baby einstellen. Mir kam auch der Gedanke, dass es vielleicht daran liegt, dass die Maus jetzt schon so viel Platz hat. Meine Gebärmutter ist ja jetzt schon recht groß, sodass sich ihr Wachstum vielleicht daran angepasst hat, wer weiß. Es bleibt auf jedenfall spannend. 🤗 Ich drücke die Daumen, dass du diesmal von der Symphyse verschont bleibst. 🍀 Hast du vielleicht Tipps, was dir in der vorherigen Schwangerschaft bei den Beschwerden geholfen hat? Hattest du da auch so einen Gurt? War das dann bis zur Geburt durchgehend? Das freut mich für dich, sobald man die Kindsbewegungen spürt, gibt das doch wieder ein Stückchen mehr Sicherheit das alles in Ordnung ist, mal von dem schönen Gefühl an sich abgesehen. Smiley nr152.gif


Miramar07

Beitrag melden

Antwort auf Beitrag von Susuba

Aqua Jogging für Schwangere, bis auf bestimmte Bewegungen die im Wasser auch schon wehtaten. Ich hatte leider keinen Gurt, denke der hätte womöglich geholfen. Ich meine, dass es in den letzten Wochen dann sogar nochmal etwas besser war aber weg nicht. Wann es nach der Geburt weg war, kann ich nicht mehr sagen. Ich drücke dir die Daumen.


FräuleinMond

Beitrag melden

Antwort auf Beitrag von Susuba

Hier ist gerade Chaos sondergleichen angesagt. Der Anbau ist, hoffentlich, in den letzten Zügen. Heute kamen die Fensterbänke, gestrichen ist jetzt alles und die Fußleisten kleben. Jetzt muss ich nur noch sechs Balken lasieren, das mache ich morgen und Schwiegermutter einmal Acryl am Dachbalken lang ziehen. Bestenfalls sind wir also an Heiligabend fertig mit dem Kram. Dann mache ich auch wirklich drei bis dreihundert Kreuze.    Ich hab heute morgen meine Blutergebnisse von letzter Woche bekommen. Da wurde ja einmal der Langzeitzucker genommen, weil ich in der ersten Schwangerschaft nen Diabetes hatte, und einmal der Eisenwert. Beides ist Top. Gerade der Eisenwert freut mich jedes Mal, weil ich seit etlichen Jahren vegetarisch bis vegan esse. Entsprechend ist das ja schon Mal gerne problematisch. Aber man sollte ja meinen jemand der sich Ernährungsberaterin schimpft sollte das können.  Ansonsten merke ich bin und wieder doch nochmal einzelne kleine Bewegungen. Der Bauch ist nochmal ziemlich arg gewachsen, zugenommen hab ich bisher allerdings nicht Mal ein Kilo. Ich vermute und hoffe, dass es so ist wie in der ersten Schwangerschaft und ich nicht viel zu nehmen werde.  Nachdem ich ja jetzt auch immerhin eine Woche Ruhe hatte mit Verdauungsproblemen, hab ich heute scheinbar wieder etwas erwischt, was ich nicht vertrage, und liege jetzt mit Wärmekissen und Buscopan auf dem Sofa weil mein Darm krampft. Mein Küken will natürlich auch nicht schlafen und macht jetzt mit dem Papa zusammen Pizzateig fertig. Mal sehen wann er so müde ist, dass er umfällt. Im Moment ist das echt ein Krampf. Mittags schläft er super schnell ein und abends quält er sich massiv. Ich wecke ihn jetzt Mittags schon immer, damit er abends vielleicht müder ist, aber Pustekuchen. Das ist tatsächlich nervig, weil ich abends Mal Zeit hätte irgendwie hier aufzuräumen und was zu machen. Geht aber nicht, wenn Zwerg nicht schläft, weil der ja alles wieder ausräumt. Immerhin auf der Baustelle benimmt er sich gut. Heute hat er versucht zu streichen. Glücklicherweise hat er den Pinsel in den Wassereimer gefunkt und damit den Boden gestrichen.    Bild gibt's heute keins, weil wegen fällt aus :D ich hab tatsächlich keins gemacht die letzten Tage. 


Susuba

Beitrag melden

Antwort auf Beitrag von FräuleinMond

Hui, das klingt nach jeder Menge Arbeit und das erst recht während der Schwangerschaft. Umso schöner, wenn ihr es jetzt fast geschafft habt und pünktlich bis Heiligabend alles erledigt ist. Freut mich, dass deine Blutwerte top sind. 🍀 Gerade mit dem Eisen ist es ja doch gerne mal problematisch, aber du bist ja sozusagen vom Fach und weißt damit worauf du achten musst. Sonst würden die Werte ja auch eine andere Sprache sprechen. Du glückliche, die Waage geht bei mir "leider" allmählich wenn auch noch langsam nach oben. Da ich ja schon nicht mit einem besonders guten Gewicht in die Schwangerschaft gestartet bin, war ich froh das es sich wenigstens lange Zeit gehalten hat. Ich hoffe, es wird nicht zu viel, was ich nach der Geburt dann wieder runter bekommen muss. 🫣 Ohje, Verdauungsprobleme mit schmerzendem Darm hören sich nicht gut an. Weißt du denn wenigstens was es gewesen sein könnte, das du nicht vertragen hast?


FräuleinMond

Beitrag melden

Antwort auf Beitrag von Susuba

Ich hab keine Ahnung was ich nicht vertrage habe. Tatsächlich begleitet mich das schon die gesamte Schwangerschaft. Und es tritt furchtbar unspezifisch auf. Das ist ziemlich nervig. Ich würde das nämlich gerne vermeiden. Aber naja.


klein.Nici

Beitrag melden

Antwort auf Beitrag von Susuba

Hallöchen aus Woche 20/21, komme gerade frisch von der Feindiagnostik. Ich bin bisschen verwirrt was jetzt der geschätzte ET ist. Ursprünglich waren wir beim 29.4. aber schon beim 2. FA-Termin korrigierte sie (zumindest in der Tabelle, wo sie ihre Befunde reinschreibt) um 3 Tage zurück. Bisher blieb es immer dabei, aber offiziell wurde der ET nicht korrigiert. Nun der Feindiagnostiker (ich nenne ihn jetzt einfach mal so) meinte heute, die Werte sind Punktlandung für 21+1 (also ET 29.4.) 🤷🏽‍♀️ Gibt ja prinzipiell schlimmeres.    Das Krümelchen ist völlig in Ordnung und hat fein Fruchtwasser getrunken. Auf dem einen Video, welches wir haben, kann man sogar erahnen, dass es am Daumen nuckelt. Lt. Messungen wiegt es ca. 330g und ist 22cm (k.A. Welche Messmethode) Es tritt nun auch manchmal so fest, dass ich selber vom Stupsen erschrecke. :D Es lag wieder in Schädellage, so wie bei allen bisherigen Ultraschallen, wo man das beurteilen konnte. Ich hoffe nur es entscheidet sich nicht kurzfristig nochmal um, wenn es ernst wird 🙈😅 Körperlich merke ich nun auch, dass es beschwerlicher wird. Am vergangenen Wochenende lag ich größtenteils flach, weil mir die linke Leiste beim Bewegen echt ganz schön weh tat. Sogar beim pinkeln, wenn die Blase sich geleert hat, hat es echt arg in der Leiste gestochen. Ansonsten hab ich immer mal Bauchkrämpfe 🙈 Heute ist wieder Schwangerensport angesagt, ich empfand, dass es mir letzte Woche echt gut tat. Ich bin auf heute gespannt! Ansonsten fühl ich mich in der Öffentlichkeit unter Menschen recht unwohl. Alles niest und schnupft gerade. Bei uns ist auch eine recht große Grippewelle am Anrollen. Habt ihr euch impfen lassen? Ich bin noch nicht lange genug wieder gesund/durch die aktuell recht stressige Zeit habe ich es noch nicht geschafft einen Termin zu machen. 🙈 Ich hänge mal ein Bild von unserem kleinen Baby an.    ganz liebe Grüße!

Bild zu

Susuba

Beitrag melden

Antwort auf Beitrag von klein.Nici

Huhu, das sind ja tolle Neuigkeiten. Das Bild ist super süß und ihr habt sogar ein Video bekommen, was für eine schöne Erinnerung. Smiley nr152.gif​​​​​​ Wegen dem ET würde ich sagen, solange da nichts offiziell korrigiert ist (also in dem Feld wo der Entbindungstermin auf den ersten Seiten eingetragen wird), wird es wohl der 29.4. sein, passt ja auch perfekt mit den heutigen Ergebnissen. Ich glaube bei den wenigen Tagen wird da generell nicht unbedingt was korrigiert. Meine Ärztin schreibt aber auch immer die Woche lt. Messungen bei ihren Befunden mit in den Mutterpass, aber als wir uns über das Thema ET korrigieren unterhielten, meinte sie damals macht man das sowieso nur innerhalb der ersten drei Monate. Und alles danach gilt dann einfach als Wachstumsretardierung oder wird als LGA vermerkt, je nachdem in welche Richtung es geht. Ohje, deine Schmerzen in der Leiste hören sich für mich nach anfangen den Ischiasproblemen an. Ich drücke die Daumen, dass es bald besser wird oder ganz verschwindet. 🍀 Wenn ich draußen unterwegs bin, geht es mir da wie dir. Überall wo man hinschaut/hinhört gibt es schniefende Nasen, Husten oder Niesen. Viele laufen hier auch wieder mit Maske rum, da gehe ich auch lieber auf Abstand, denn ich weiß ja nicht ob sie das aus Eigenschutz machen oder weil sie vielleicht gerade Covid haben. Ich versuche mich soweit es geht fern zu halten, aber das geht natürlich nicht immer. Auch im Büro kommen leider viele total krank auf Arbeit, zum Glück habe ich da wenigstens mein eigenes Büro. Gegen Grippe habe ich mich vor ein paar Wochen impfen lassen, in der Hoffnung ich bleibe verschont. Das mache ich normalerweise nicht, aber jetzt durch die Schwangerschaft wollte ich da doch auf Nummer sicher gehen.