Elternforum Schwanger - wer noch?

Zwillinge??US-Bild

Zwillinge??US-Bild

Hope_Faith

Beitrag melden

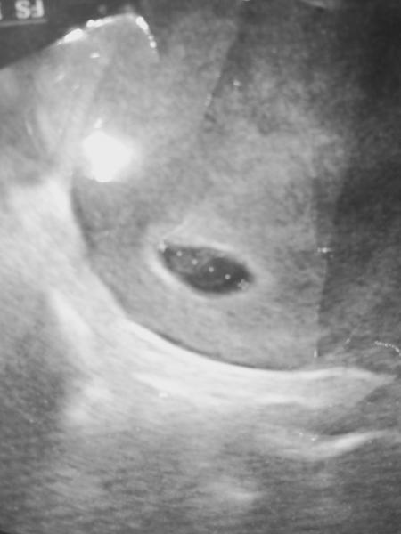
Hallo ihr lieben war gestern beim FA und er meinte es könnten evtl. Zwillinge sein?!Ich erkenne so gut wie nichts auf dem Bild,aber vielleicht kennt sich hier die ein oder andere aus? Lg Hope_Faith

Bild zu Zwillinge??US-Bild - Schwanger - wer noch? Rund um die Schwangerschaft

kleene162

Beitrag melden

Antwort auf Beitrag von Hope_Faith

der dunkle Fleck in der Mitte ist die Fruchthöhle. da sie so zwei unterschiedlich Schattierungen hat, ist die Vermutung halt da, dass da evt 2 so n bissl schräg hintereinander liegen könnten. aber es ist sicher zu früh da was genaues dazu zu sagen.. das hellgraue Drumherum ist die Gebärmutterschleimhaut und der ziemlich helle Streifen, der so leicht gebogen unten für quer verläuft ist die Muskulatur der Gebärmutter.. ich hoffe ich konnte weiterhelfen und alles gute für euch!


Hope_Faith

Beitrag melden

Antwort auf Beitrag von kleene162

Danke kleene 162,für deine ausführliche Erklärung.Hatte gehofft das vielleicht jemand hier ist wo das US Bild genauso aussieht wie bei mir,es ist von 6+0,weißt du wo ich etwas finden kann zum Vergleich? Dann heißt es wohl abwarten und Tee trinken LG


Mitglied inaktiv

Beitrag melden

Antwort auf Beitrag von Hope_Faith

Bei 6+0 hatte ich nur die Fruchthöhle mit Dottersack deshalb kann ich mit Vergleich nicht dienen


Hope_Faith

Beitrag melden

Antwort auf diesen Beitrag

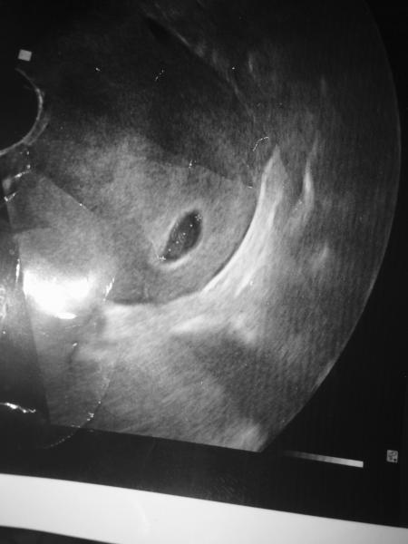
Genau das ist das interessante ich kann da noch nicht mal einen dottersack erkennen,nur das die fruchthöhle zumindest nicht leer ist,hier ist nochmal ein anderes Bild...

Bild zu

kleene162

Beitrag melden

Antwort auf Beitrag von Hope_Faith

ich war bei 5+6 und da sah man auch nur eine Fruchthöhle. wenn man etwas hin und her gewackelt hat, konnte man auch den Ansatz eines Dotttersacks sehen... also, dass man nur den Dottersack sieht ist zu der Zeit erstmal ok. zu dem zwilligsverdacht kann man erst in ein oder 2 Wochen was sagen....