Elternforum Schwanger - wer noch?

Verdacht auf ELSS 😔

Verdacht auf ELSS 😔

Sandy1974

Beitrag melden

Hallo ihr Lieben , mein NMT war der 03.11.17 , positiv getestet hab ich am 02.11.17 mit einem 10 er FrĂŒhtest . Da ich auf Grund einer vermuteten Infektion bereits am 06.11.17 zur FÄ musste , machte diese direkt auch Ultraschall , leider sah man nur eine hoch aufgebauten Schleimhaut und eine 4 cm große Gelbkörperzyste. Daraufhin machte die Ärztin einen Bluttest . Mein HCG am 06.11.17 lag bei 1249 und am 09.11.17 bei 3570 , leider war auch da , auf dem Ultraschall ĂŒberhaupt nichts zu sehen . Nun der Verdacht ELSS! Wenn man beim nĂ€chsten Termin nichts sieht , außer einer hoch aufgebauten Schleimhaut ,weiß ich echt nicht mehr weiter . Hab richtig Angst hin zu gehen , habe nĂ€mlich im Juni 17 , erst einen Missed Abbord in der 10 SSW hinter mir Im ĂŒbrigen , habe ich weder Schmerzen noch Blutungen . Mir tun nur extrem die BrĂŒste weh , habe kaum Appetit durch die stĂ€ndige unterschwellige Übelkeit , mir ziehen die MutterbĂ€nder und ich habe leichte Kreuzschmerzen im unteren RĂŒcken . Zudem hab ich stĂ€ndig Harndrang und bin extrem mĂŒde . Vielleicht hat jemand Ă€hnliche Erfahrungen und es ist dennoch alles gut ausgegangen .


Mitglied inaktiv

Beitrag melden

Antwort auf Beitrag von Sandy1974

Huhu, darf ich dir Hoffnungen machen? Weißt du wie hoch die chance auf eine Eileiterschwangerschaft ist? 2%! Die Ärzte mĂŒssen dir sagen das es ein Verdacht auf eine Eileiterschwangerschaft ist, schon rein rechtlich gesehen, denn wenn die dir das verschweigen oder dich nicht aufklĂ€ren sind die am A****. Davon abgesehen war das bei mir auch so und sehen konnte man erst was bei 6+5 also 7. SSW. LG Karo


Sandy1974

Beitrag melden

Antwort auf Beitrag von Sandy1974

Du machst mir echt Hoffnung , vielen Dank Vielleicht wird ja doch noch alles gut dieses Mal . Bin halt schon 43 und hab Angst dass mir langsam die Zeit weglĂ€uft . Auch wenn ich schon zwei erwachsene Kinder habe , mein jetziger Mann und ich wĂŒnschen uns sehr noch ein gemeinsames Baby


Sabrina zwei sterne

Beitrag melden

Antwort auf Beitrag von Sandy1974

Liebe Sandy!!! Ich glaube wie meine vorschreiben das alles gut sein wird... ich freue mich positiv von dir zu hören bzw zu lesen.


Mitglied inaktiv

Beitrag melden

Antwort auf Beitrag von Sandy1974

Hat der Arzt den Verdacht den geĂ€ußert? Auch der 9.11. war ja erst 7 Tage nach NMT. Kann doch sein, dass sich alles etwas nach hinten verschoben hat. Die Art und StĂ€rke der Symptome sagt ja nichts aus. Ich drĂŒcke dir die Daumen!!!


Sandy1974

Beitrag melden

Antwort auf Beitrag von Sandy1974

Ja sie hat direkt gemeint , dass man eigentlich ab einem hcg von ca. 1000 was sehen wĂŒrde . Da dies nicht der Fall ist , hat man mich gefragt ob ich denn schon mal Probleme mit einer ELSS hatte und gemeint , dass man dies unter Beobachtung halten mĂŒsse . Daher auch die hcg Kontrolle .


Mitglied inaktiv

Beitrag melden

Antwort auf Beitrag von Sandy1974

Vielleicht sind es auch Zwillinge, deshalb der hohe hcg, gab es alles schon.


harriett78

Beitrag melden

Antwort auf Beitrag von Sandy1974

Hallo, meine Ärztin sagt bei 4+6 MUSS man ĂŒberhaupt noch nichts sehen. Ich war heute bei 4+6 bei meiner FÄ und man hat eine winzige Fruchthöhle gesehen. Sie war selbst ĂŒberrascht, da wir beide davon ausgegangen nichts zu sehen außer einer hohen GMSH. Aber jede Entwicklung ist unterschiedlich. Ich wĂŒrde noch abwarten. Hast du diese Woche noch einen FA-Termin? Lg und lass dich gedrĂŒckt wissen. Alles wird gut! Kerstin PS: Ich habe dieses Jahr 2 Fehlgeburten jeweils in der 9 SSW hinter mir. Ich weiss um die Angst vor einer Wiederholung.


schneeziege

Beitrag melden

Antwort auf Beitrag von Sandy1974

Hallo Sandy, ich kann Dir nur raten mach Dich nicht verrĂŒckt. Ich hatte auch das gleiche wie bei Dir. Ich mußte 14 tage jeden Tag zum Arzt. HCG ist jedesmal gestiegen und nun ist der Wurm schon 3 1/2 jahre alt. lg daggi und eric


Sandy1974

Beitrag melden

Antwort auf Beitrag von Sandy1974

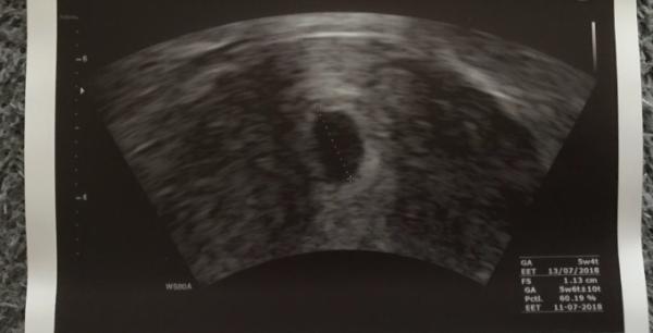
Die vielen , vielen Dank , fĂŒr Eure lieben , aufbauenden Worte . War heute wieder zur Kontrolle und man hat endlich , eine 1,13 cm große FruchthĂŒlle , in der GebĂ€rmutter,gesehen Laut meiner letzten Periode bin ich 5W4T laut Ultraschall 5W6T, also zeitgerecht . Ich hab ganz dolle geweint vor Freude , die ganze Anspannung ist von mir abgefallen . Erstmal also Entwarnung . Nun muss ich in einer Woche wieder hin und hoffe dann Dottersack und WĂŒrmchen zu sehen. Vielleicht wird ja doch alles gut Das einzige was mir im Moment noch etwas Sorgen und auch leichte Schmerzen bereitet ist die Gelbkörperzyste, die auf 5,5 cm gewachsen ist . Ich soll mich körperlich schonen , damit sie nicht platzt .

Bild zu

nina91383

Beitrag melden

Antwort auf Beitrag von Sandy1974

Oh Wahnsinn, das freut mich sehr zu lesen, ich drĂŒcke alle Daumen und Zehen die ich habe und wĂŒnsche Dir, dass euer Wurm sich festbeißt und bei euch bleibt