Elternforum Schwanger - wer noch?

Erkennt Ihr an dem Bild das Geschlecht?

Erkennt Ihr an dem Bild das Geschlecht?

diddi1988

Beitrag melden

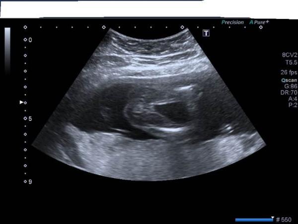
Hallo Ihr Lieben, ich war gestern in der 18. Woche zu einem Ultraschall und die Ärztin hat eine Tendenz geäußert, was es werden könnte. Jetzt wollte ich Euch mal fragen, ob Ihr was klares erkennen könnt? Ich verstehe von den Ultraschallbildern nämlich leider nicht allzu viel. Ich weiß nur, dass das Bild von unten gemacht wurde und man den Popes sieht :) Danke schon mal. LG diddi

Bild zu Erkennt Ihr an dem Bild das Geschlecht? - Schwanger - wer noch? Rund um die Schwangerschaft

Lieselotte123-4

Beitrag melden

Antwort auf Beitrag von diddi1988

Würde nun auf Mädchen tippen. Wenn es von unten Popo Gemach würd, finde ich sieht das wie Schamlippen aus.


_LeA_

Beitrag melden

Antwort auf Beitrag von diddi1988

Mädchen - mein tipp


Pebbie

Beitrag melden

Antwort auf Beitrag von diddi1988

Ich tippe auf Junge ;) Aber viel wichtiger ist doch, was der Arzt gesagt hat


diddi1988

Beitrag melden

Antwort auf Beitrag von diddi1988

Die Tendenz liegt bei Mädchen ,aber nur 50/50 Chance hat sie gesagt. Würde mich aber noch über weitere Einschätzungen freuen


Keksraupe

Beitrag melden

Antwort auf Beitrag von diddi1988

50/50 ist witzig


kanja

Beitrag melden

Antwort auf Beitrag von diddi1988

Ich hatte auch mal nen Frauenarzt, der solche Witze lustig fand.


good4nothing

Beitrag melden

Antwort auf Beitrag von diddi1988

Das ist ein definitives Vielleicht!


diddi1988

Beitrag melden

Antwort auf Beitrag von diddi1988

Ja also an sich doch keine wirkliche Tendenz


Herbstlaub123

Beitrag melden

Antwort auf Beitrag von diddi1988

Ich tippe auf Mädchen. Sehe da drei Striche, was für Schamlippen spricht. Aber sicher ist es eh erst, wenn das Baby auf der Welt ist.


bettina_7

Beitrag melden

Antwort auf Beitrag von diddi1988

Hallo! Würde sagen ein Mädchen. Grüße, Bettina


Patte78

Beitrag melden

Antwort auf Beitrag von diddi1988

Würde auch auf Mädchen tippen ...


Mal32

Beitrag melden

Antwort auf Beitrag von diddi1988

Ich würde auch sagen Mädchen! Hatten ein sehr ähnliches US Bild von unserem Baby von der 16 SSW und da sah das schon sehr anders aus. In der 18 SSW wurde der Junge dann sehr eindeutig bestätigt.


Bärchen87

Beitrag melden

Antwort auf Beitrag von diddi1988

Denke auch Mädchen, bei Jungs müsste man „mehr“ sehen. Aber wer weiß.


Patchwork

Beitrag melden

Antwort auf Beitrag von diddi1988

Ich vermute auch ein Mädchen , ich habe 5 Jungs und eine Tochter. Bei den Jungs sah es in der 18 SSW ganz anders aus.


diddi1988

Beitrag melden

Antwort auf Beitrag von diddi1988

Vielen Dank für die vielen Antworten. Das hört sich ja nach Eurer Einschätzung doch sehr nach Mädchen an. Oh man bin ich gespannt In 3 Wochen ist das Organscreening, da wollen wir dann nochmal genau gucken. Hoffentlich zeigt es sich dann super. Ich hoffe die gehen schnell rum LG diddi


HopeBabywunder18

Beitrag melden

Antwort auf Beitrag von diddi1988

Ich sehe da etwas männliches ;) und tippe auf einen Jungen


Mitglied inaktiv

Beitrag melden

Antwort auf Beitrag von diddi1988

Hä? Ich sehe da eindeutig einen großen Hodensack, zwei Hoden und den Schniedel wo soll da ein Mädchen sein


Mitglied inaktiv

Beitrag melden

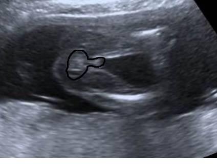
Antwort auf Beitrag von diddi1988

Hier nachgezeichnet, nicht professionell, aber das was ich sehe

Bild zu

diddi1988

Beitrag melden

Antwort auf Beitrag von diddi1988

Also ich habe mir mal ein paar andere Bilder von Jungen oder Mädchenoutings angeschaut und von meinem Eindruck her hängt aber immer bei Jungs naja der Schniedel irgendwie rum und das fehlt finde ich irgendwie bei meinem Ultraschallbild, auch wenn es schon irgendwie nach Hodensack aussieht da wo die Pobacken sind. Aber auch das habe ich bei Mädchenoutings gesehen, dass die auch etwas rundes hatten, wo die Pobacken sind. Also es bleibt weiterhin leider ein Rätsel. LG


PunkRockMummy

Beitrag melden

Antwort auf Beitrag von diddi1988

Für mich sieht das wie ein Mädchen aus


Maya2310

Beitrag melden

Antwort auf Beitrag von diddi1988

Ich hatte auch genauso ein Bild aber es sieht nach junge aus habe nämlich dieses Bild bekommen und es wurde ein Mädchen das sieht mehr nach junge aus

Bild zu

diddi1988

Beitrag melden

Antwort auf Beitrag von Maya2310

Hey Maya, Wie weit warst du als du das Bild bekommen hast?


Maya2310

Beitrag melden

Antwort auf Beitrag von Maya2310

Im 4.Monat und im 5.Monat wurde es uns bestätigt


Beauty2507

Beitrag melden

Antwort auf Beitrag von diddi1988

Hallo Ihr Lieben, ich hätte da auch eine Frage zu meinem Ultraschall ich erkenne nichts darauf... Was meint Ihr? Dad bild wurde in der 21 ssw aufgenommen:D

Bild zu