Elternforum Schwanger - wer noch?

1.ultraschall

Rund ums Baby Adventskalender 2025
1.ultraschall

FleurFrancaise

Beitrag melden

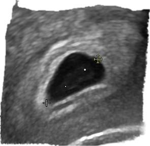
Hallo ihr Lieben, Wollte mal eure Meinung dazu haben... Bis fix und fertig. Die Dame von US sagte da wäre nichts zu sehen und man müsse eine Ausschabung machen... Bild unten und vergrößert damit man es besser sehen kann. Lieben Dank

Bild zu 1.ultraschall - Schwanger - wer noch? Rund um die Schwangerschaft

QueenMum

Beitrag melden

Antwort auf Beitrag von FleurFrancaise

Na hol dir mal ne 2 Meinung ein überfrühe Aussagen zur AS würde ich ignorieren. Manchmal kommt es leider auch auf den Druck des Schallkopfes an bei mir sah Sie auch leer aus dann mit gewisssem Druck war plötzlich alles da.


Mitglied inaktiv

Beitrag melden

Antwort auf Beitrag von FleurFrancaise

Also ich seh schon Embryonale Struktur, die Tussi soll sich mal eine Brille kaufen tzzzz !! Warte noch ein bis zwei Wochen ab und dann siehst bestimmt schon was, UND wechsel die FA Lg Manu


Hexe33

Beitrag melden

Antwort auf Beitrag von FleurFrancaise

Wie weit bist du denn? Also ich sehe da auch was,kann auch sein das sich dein zyklus verschoben hat und das es einfach noch zu früh ist was zu sehen bezw. mehr zu sehen. Bei meinem ersten US war ich in der 7. oder 8. Woche. Einfach nochmal in 14 tagen hin gehen,dann wird man mehr sehen. * Daumen drück *


sanny178

Beitrag melden

Antwort auf Beitrag von FleurFrancaise

Warte noch ein paar Tage und hol dir eine zweite Meinung ein! Ich drück dir die Daumen! LG


Lara1995

Beitrag melden

Antwort auf Beitrag von FleurFrancaise

Hey Ich seh da auch einen Schatten der extrem nach einen kleinen Baby aussieht also lass dir nix sagen und warte noch Ich bin mir sicher beim nächsten Ultraschall sieht man es deutlich 27 ssw


mf4

Beitrag melden

Antwort auf Beitrag von FleurFrancaise

Wie kommt jemand dazu zu sagen es muss jetzt schnell was gemacht werden? Du hast nichts zu verlieren, kannst abwarten und in 2 Wochen sieht man im wahrsten Sinne klarer.


FleurFrancaise

Beitrag melden

Antwort auf Beitrag von mf4

Ich weiss echt nicht mehr was ich tun soll... Eine Bekannte meint sogar, es wäre nur ein Sack in der Mitte und nicht wie ihr sagt ein Baby... bin echt am verzweifeln Aber sieht man denn wirklich nichts in der 5.ssw? Was ist dzs denn für ein Fleck wenn es kein Baby ist? Wirklich nur ein Sack?


Hexe33

Beitrag melden

Antwort auf Beitrag von mf4

In der 5.ssw sieht man auch noch nicht so viel. Erst in der 7. Oder 8. Woche sieht man mehr plus Herzschlag So sah meins in der 8.ssw aus

Bild zu

FleurFrancaise

Beitrag melden

Antwort auf Beitrag von mf4

Aber was soll dieser Fleck darstellen? Ich bin echt ziemlich aufgelöst seit gestern... mir geht so vieles durch den Kopf momentan... weiss auch jetzt garnicht ob ich es meinen Eltern am Sonntag sagen soll, da ich ja nicht weiss ob es etwas wird oder nicht... aber auf der anderen Seite sage ich mir wenn meine Eltern es wissen und im endeffekt nichts drin ist können sie mich ja emotional unterstützen....


mama0407

Beitrag melden

Antwort auf Beitrag von FleurFrancaise

Huhu. Bleib erstmal ganz ruhig. In der 5 Woche muss man absolut nichts sehen. Darum machen die meisten Ärzte erst ab der 8 Woche den ersten Ultraschall um eben die Mama's nicht verrückt zu machen. Als ich in der 7 Woche war, musste ich wegen Blutungen ins Krankenhaus. Die Ärztin war sehr unfreundlich und meinte man sieht kein Kind. Ich soll mir ne Überweisung zur Ausschabung holen. Am nächsten Morgen total aufgelöst zu meiner Ärztin, sie macht Ultraschall und siehe da ein kleiner Wurm mit Herzschlag. Da war ich 6+5. Der kleine Wurm mit Herzschlag ist mittlerweile 5,5 Monate alt und kerngesund. Das hängt auch immer von der Qualität der Geräte ab. Also bleib erstmal ganz ruhig. LG


Mitglied inaktiv

Beitrag melden

Antwort auf Beitrag von FleurFrancaise

Hey! Bleib ganz ruhig! Bei mir sah es ähnlich aus, sogar eine kleinere Fruchthöhle hatte ich. Irgendwann nach mehren drehen und drücken des Schallkopfes sah man einen Dottersack. Mach dich nicht verrückt und such dir einen neuen Frauenarzt! Viele Grüße Sophiital , 14.ssw


FleurFrancaise

Beitrag melden

Antwort auf diesen Beitrag

Ich war gestern in einem KH in dem schon seit längerer Zeit keine Geburten stattfinden ca. seit 8 Jahren... Erstens als ich den Termin bei denen abmachte wussten die gar nicht, dass sie Ultraschall machen Als ich dann dort war, fing die Ärztin an mit dem Gerät auf meinem Bauch rumzufuchteln... und sagte: " mhhh das sieht nicht gut aus... wenn ich wüsste, ob wir das Gerät haben um Vaginal zu schallen..." Sie sah um sich herum und fand in einer Schublade das Gerät, noch in der ORIGINAL VERPACKUNG obwohl das Ultraschallgerät seit 2005 dort installiert ist... boah ich sags euch... und dann kam dieses Bild raus das ich am Anfang postete... und sprach von einer FG, Windei, Ausschabung... Habe heute wieder zurück gerechnet und kam auf das Ergebnis dass ich erst seit 4+... Wochen Schwanger bin. Periode war: 7.04 und ES war: ab den 22.04


Mitglied inaktiv

Beitrag melden

Antwort auf Beitrag von FleurFrancaise

Wenn du erst in der 5. Woche bist, warte einfach noch 2 Wochen ab. Notfalls, was ich nicht hoffe, kannst du auch drauf bestehen, eine FG ohne Ausschabung durchzustehen. Such dir einen neuen FA, warte zwei wochen und dann sieht man mehr.


FleurFrancaise

Beitrag melden

Antwort auf diesen Beitrag

Ja ich befindet mich im endeffekt doch erst anfang 5. Woche und nicht wie geglaubt in der 7.ssw Wenn es eine FG gäbe würde ich doch was spüren und auch eventuell Bluten, was bis heute nicht der Fall ist...