Elternforum Schwanger - wer noch?

Ultraschall bei 5+2 verstehen

Rund ums Baby Adventskalender 2025
Ultraschall bei 5+2 verstehen

miss_melli

Beitrag melden

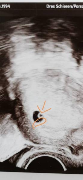
Hallo, Kann mir jemand erklären, was ich da sehe. Ich bin komplett neu. Einmal das am Pfeil, das ist der Dottersack? Sieht man auch schon mehr? Und im Kreis die weißen Flecken, was könnte das sein? Könnte man in so einem Stadium schon zwillinge erkennen? Ich bin Neuling... Bitte nicht steinigen

Bild zu Ultraschall bei 5+2 verstehen - Schwanger - wer noch? Rund um die Schwangerschaft

Thero23

Beitrag melden

Antwort auf Beitrag von miss_melli

Huhu, also eigentlich müsste dir dein Frauenarzt das ja erklärt haben :D Sollte er zumindest tun. Vorallem wenn du zum ersten Mal schwanger bist. Das was du da siehst, ist deine Gebärmutter mit der Fruchthöhle. Also die kleine schwarze Blase. Darin siehst du einmal einen weißen Kreis, dass ist die Eizelle mit dem Dottersack. :)


Thero23

Beitrag melden

Antwort auf Beitrag von Thero23

Einen Zwilling hast du hier nicht. Für Zwillinge müssten zwei solche Fruchthöhlen da sein.


miss_melli

Beitrag melden

Antwort auf Beitrag von Thero23

Ja aber doch nur bei zweieiigen?!


miss_melli

Beitrag melden

Antwort auf Beitrag von Thero23

Nein, sie meinte nur es sieht alles sehr gut aus für den Zeitpunkt. Hatte vorher eine FG, vielleicht wollte sie mich da jetzt nicht mit zu vielen Informationen überhäufen. Habe aber auch nicht gefragt und mir das Bild erst später angesehen. Meine Freude hielt sich noch in Grenzen beim Arzt, wegen der FG. Denke in 2 Wochen sieht man dann mehr, dann frage ich auch.


CayoCoco

Beitrag melden

Antwort auf Beitrag von miss_melli

Genau das ist der Dottersack in der Fruchthöhle :) Konnte man das Herzchen schon schlagen sehen oder hören? :) Alles Gute für dich!!


miss_melli

Beitrag melden

Antwort auf Beitrag von CayoCoco

Huhu, Danke Dir. Nein, noch nicht. Aber für 5+2 ist das ja nicht schlimm. Denke beim Nächsten Termin dann sehr sicher bei 7+2


cmrx

Beitrag melden

Antwort auf Beitrag von miss_melli

Bei mir sah es 5+3 nahezu gleich aus. Im Ansatz war der Embryo erkennbar und 6+3 sah man dann auch schon den Herzschlag. Wenn du in zwei Wochen dort bist, ist alles sichtbar Darf am Donnerstag wieder an 7+6 zum Arzt und denke ich erhalte den Mutterpass, wenn ichs richtig verstanden habe


SunnyNanni

Beitrag melden

Antwort auf Beitrag von miss_melli

Hallo, Jetzt hast du ja schon einige Rückmeldungen erhalten. Das was du eingekreist hast ist einfach nur die Markierung vom Gerät für die Messpunkte.


miss_melli

Beitrag melden

Antwort auf Beitrag von SunnyNanni

Danke, aber ich meinte die zwei weißen Punkte daneben. In der Fruchthöhle selber Nicht das Kreuz.

Bild zu