Elternforum Schwanger - wer noch?

Ultraschall bei 5+0

Ultraschall bei 5+0

Jasmin9827

Beitrag melden

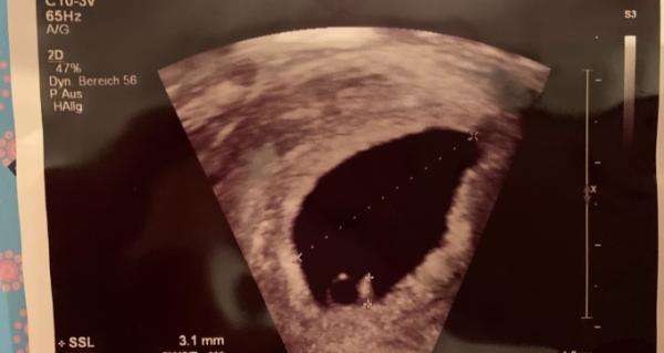
Hallo ihr Lieben, Ich wurde bei 5+0 wegen zwei Fehlgeburten schon zum ersten Ultraschall bestellt. Wie sah euer Ultraschall aus, für diejenigen, die auch so früh beim Ultraschall waren? Gerne mit Fotos

Bild zu Ultraschall bei 5+0 - Schwanger - wer noch? Rund um die Schwangerschaft

NaduNadu

Beitrag melden

Antwort auf Beitrag von Jasmin9827

Ja ganz normale Fruchthülle. In 3-4 Wochen wirst du mehr sehen


Mary64

Beitrag melden

Antwort auf Beitrag von Jasmin9827

Und 8+0... Wurde zurückdatiert auf 6+4

Bild zu

Hoffnung2020

Beitrag melden

Antwort auf Beitrag von Jasmin9827

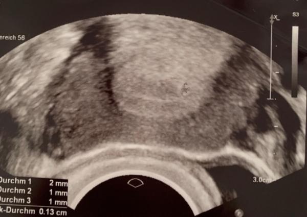
Hallöchen, bei mir hat’s 5+5 so ausgesehen

Bild zu

Hoffnung2020

Beitrag melden

Antwort auf Beitrag von Hoffnung2020

Und gestern hätte ich 7+5 sein sollen, wurde jedoch 2 Tage auf 7+3 zurückdatiert

Bild zu