cmrx
Hallo ihr Lieben, möchte euch auch kurz berichten:
Wir sind zurĂŒck und alles ist perfekt zeitgerecht und unauffĂ€llig entwickelt. Was fĂ€llt mir fĂŒr ein Stein vom Herzen. Jetzt kann ich den Ergebnissen vom Praenatest auch entspannt entgegenblicken die bekommen wir am Dienstag.
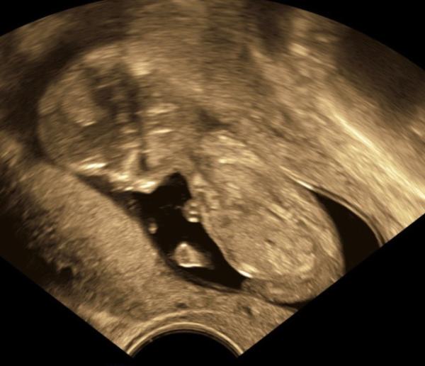
Bin heute bei 12+3 und Baby ist 6,71cm groĂ, alles gut sichtbar an Organen etc. und der PrĂ€natalmedizinier (Degum III) meint wir brauchen nicht verunsichert sein. Risiken fĂŒr die Trisomien sind sehr gering.
Trisomie 21 1:399 und adjustiert bei 1:1895
Trisomie 18 1:989 und adjustiert bei 1:3252
Trisomie 13 1:3099 und adjustiert bei < 1:20.000
merken tu ich immer noch so gut wie nichts, und zu meiner Ăberraschung hat mich die Ăbelkeit fĂŒr einen ganz kurzen Moment wieder ĂŒbermannt. Grade zuhaus zur TĂŒr rein und
zum zweiten Mal aber erst in der SS, also kaum der Rede wert
Wir sind froh fĂŒr den Moment
HĂ€nde und FĂŒĂchen konnten wir gut sehen auch. Und kurzzeitig saĂ unser Wunder richtig sĂŒĂ im Schneidersitz da
GMH muss bzw. sollte man maximal alle vier Wochen beobachten, aber sieht bisher alles gut aus. Von dem Myom konnte er nichts mehr sehen und die Durchblutung ist auch einwandfrei

Was fĂŒr ein schönes Bild und schöne Nachrichten!!
Ich freu mich fĂŒr euch, dass alles gut aussieht und es eurem WĂŒrmchen gut geht!
Wundervolle Neuigkeiten!! Ich freue mich sehr fĂŒr dich / euch
Sehr schön
Das kenne ich. Ging mir nach Frauenarzterminen auch oft so. Ich vermute, dass die Aufregung ihren Teil dazu beitrag.
Ich freue mich sehr von dir so positive Nachrichten zu lesen. Du hast es mehr als verdient.
Danke sehr mein Mann meinte auch es war die Aufregung. Das letzte Mal wars auch am selben Tag nach dem FA Termin nur abends. Vielleicht ist das wirklich ein Zusammenhang
Oh wie schööööön!!
Ich freue mich sehr fĂŒr dich!
Und auch so ein tolles Foto
So ein tolles Foto !
Ich freue mich so unfassbar fĂŒr euch!
Das mit der plötzlichen Ăbelkeit kenne ich gut..
Juhhuuu⊠was fĂŒr wundervolle Nachrichten!!! So schön, dass alles gut aussieht und du dich nun entspannt (sofern das mit der Ăbelkeit möglich ist) auf die weitere ss freuen kannst
Ein sĂŒsses Bild
Das freut mich, toll
Wie schön und sehr sĂŒĂes Bildchen