Monatsforum März Mamis 2010

US bIlder

US bIlder

Mitglied inaktiv

Beitrag melden

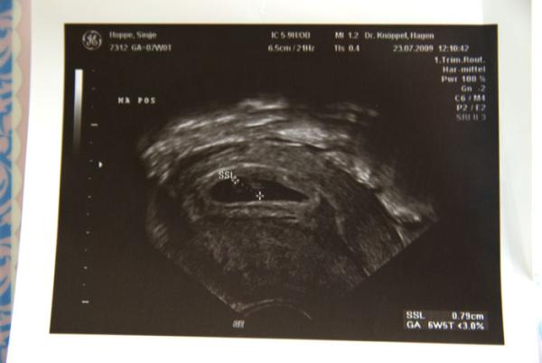
Hier ist das US Bild bei 5+4

Bild zu US bIlder - Forum für März - Mamis

Mitglied inaktiv

Beitrag melden

Antwort auf diesen Beitrag

krümel ist 7,9mm groß

Bild zu

Mitglied inaktiv

Beitrag melden

Antwort auf diesen Beitrag

oh toll, ich bin heute 7+1 und geh nachher auch zum Arzt... vielleicht bekomm ich dann auch so ein tolles Bildchen... freu mich für dich.. lg Manu


Mitglied inaktiv

Beitrag melden

Antwort auf diesen Beitrag

ja das hab ich letzt ewoche bekommen heute bin ichja schon 9+0 ich drück dir die daumen das du auch so ein tolles bild bekommst