Monatsforum Juni Mamis 2021

14+ 4 embyo zu klein

14+ 4 embyo zu klein

Chrissi 36

Beitrag melden

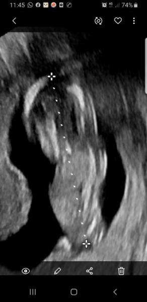
Hallo, Ich werd langsam wahnsinnig. Heute beim ultraschall sagte die fraienärztin alles zeitgerecht und super auf dem bild steht aber 13+3. Vielleicht hätte sie das kreuz schon am kopf höher setzen können. Und unten kann man es garnicht einschätzen wo das Kreuz hin kommt. Also 14+ 4 und 7.5 cm Wenn ich das vergrösser auf die 7.5 und mit dem lineal genau messe komme ich auf 8.

Bild zu 14+ 4 embyo zu klein - Forum für Juni - Mamis

Chrissi 36

Beitrag melden

Antwort auf Beitrag von Chrissi 36

Ups wieso 2 mal da


DoroMarie88

Beitrag melden

Antwort auf Beitrag von Chrissi 36

Hallo Chrissie, Ja, sieht so aus als hätte man es etwas größer messen können. Mach dir keine Sorgen. Wichtig ist ein konstantes Wachstum. Zudem ist die Messung von Kopfumfang(BPD) und Bauchumfang (ATD) wichtig für das geschätzte Körpergewicht. Ab der 13/14. SSW ist die SSL nicht mehr ganz so wichtig. Anhand dessen kannst du auf Wachstumskurven Kreuzchen eintragen und gucken, dass es gleichmäßig wächst. Siehe Foto anbei ( aus Mutterpass Seite 13)

Bild zu