Monatsforum Juni Mamis 2021

14+ 4 embyo zu klein

14+ 4 embyo zu klein

Chrissi 36

Beitrag melden

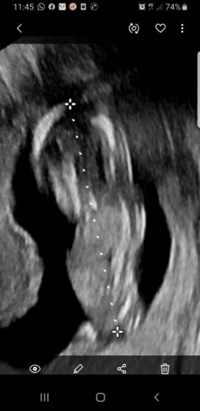
Hallo, Ich werd langsam wahnsinnig. Heute beim ultraschall sagte die fraienärztin alles zeitgerecht und super auf dem bild steht aber 13+3. Vielleicht hätte sie das kreuz schon am kopf höher setzen können. Und unten kann man es garnicht einschätzen wo das Kreuz hin kommt. Also 14+ 4 und 7.5 cm Wenn ich das vergrösser auf die 7.5 und mit dem lineal genau messe komme ich auf 8.

Bild zu 14+ 4 embyo zu klein - Forum für Juni - Mamis

Fairy2021

Beitrag melden

Antwort auf Beitrag von Chrissi 36

Jede Bohne wächst in einem anderen Tempo! Mach dir keine Sorgen aber dein Gyn. wird schon wissen was er macht :)


Scoobydine

Beitrag melden

Antwort auf Beitrag von Chrissi 36

Ich würde mir da auch keine großen Sorgen machen, denn wenn es Auffälligkeiten gäbe, hätte sie dir das schon gesagt. Versuch dich zu entspannen und geniesse die Schwangerschaft.