Monatsforum Juli Mamis 2012

Bericht vom Frauenarzt + Fotos

Bericht vom Frauenarzt + Fotos

schnuffelschnecke87

Beitrag melden

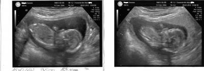
Hallo Ihr lieben, nach dem ich mit Termin heut 3 STUNDEN !!!warten musste habe ich noch erfahren das Sie keinen Ultraschall macht ok dachte ich mir dann Bezahle ich halt hauptsache ich seh mein Baby . Gesagt getan meinem Baby geht es super es hat Geschlafen aber sowas von Süss das glaub ihr garnicht. Er ist 9,5 cm "groß" und 104 gramm "schwer". Sie hat auch noch mal gesagt das er (warscheinlich) ein Junge wird. ich bin heute 15+0 ssw laut untersuchung 15+2 ssw. Ach Mädels ich freu mich so das mit meinem Baby alles ok ist aber ein wehmutstropfen gab es noch ich habe 1,6 kg zugenommen ich habe gefragt ob das ok ist und sie sagte ja beim 2 kind nimmt man schneller zu na toll das macht mut . so jetzt möchte ich euch nicht weiter stören. ich hänge euch noch die Bilder von heute an lg und einen schönen abend

Bild zu Bericht vom Frauenarzt + Fotos - Forum für Juli - Mamis

Lina27

Beitrag melden

Antwort auf Beitrag von schnuffelschnecke87

schön,freu mich für dich! Aber ist denn 1,6Kg sooo viel für die Woche??? Alles Gute weiterhin.GAAAANNNNZZZZ liebe Grüße


Teufelinpampers

Beitrag melden

Antwort auf Beitrag von schnuffelschnecke87

Cool! Ich find das sooo fies von den Ärzten das die nicht schallen! Mal ehrlich- der Kasten läuft eh rund um die Uhr, u das gel ist n centartikel! Schnell ausgezogen ist man auch... Ggrrrr! Aber ich muss zugeben, ich weis nicht ob meine FÄ das jetzt nur macht weil ich privatpatient bin, wobei es bisher ja immer im Raum stand ob es gewachsen ist u alles gut ist- hab aber auch jedesmal n Bildchen bekommen. Und vorn im wartebereich hängt ne Fette liste mit den Preisen pro us Bild, 3D us und so! Da hab ich schon deftig geschluckt was das kostet! Aber, mit dem tot und dem leben lässt sich Ne Menge Kohle machen!


Krümel-Keks

Beitrag melden

Antwort auf Beitrag von schnuffelschnecke87

Erstmal muss ich sagen, dass dein Kleiner echt knuffig ist... schöne und recht eindeutige Bilderchen und wow er ist schon fast 10cm groß... ist das die Gesamtlänge oder SSL? Und mir ist aufgefallen, dass der kleine Mann ja jetzt schon schwer ist wie ne Tafel Schoki echt toll. Wieviel musstest du den für den US bezahlen?... aber gut, dass du es gemacht hast, nun biste beruhigt und weißt sogar was es wird... hätt ich auch gemacht... LG deine Keksi


Gweni

Beitrag melden

Antwort auf Beitrag von schnuffelschnecke87

Oh man 3 Std, das kenn ich irgendwoher. Bin auch am überlegen am 9 zu zahlen, weil ich schon über 3 Wochen nichts gesehen habe, was hast du gezahlt? Wunderschöne Fotos, na da kann ja nur Junge raus kommen, ich freu mich für dich. Wow, was die groß werden. Ich bin auch gut am zu nehmen, hoffe das es nicht heißt drittes Kind nochmehr :(


emres

Beitrag melden

Antwort auf Beitrag von schnuffelschnecke87

schön, dassdein baby so toll gewachsen ist. es sieht wirklich nach einem jungen aus. schöne fotos.