Monatsforum Juli Mamis 2010

heute Fa termin gehabt

heute Fa termin gehabt

Mitglied inaktiv

Beitrag melden

so Mädels heute hab ich wieder langersehnt den termin gehabt alles ok soweit das Herzchen hat geschlagen mir ist echt ein stein vom Herzen gefallen und mein Mann hat Tränchen in den augen gehabt. allerdings wäre ich heute laut Regel 7+4 und laut Us 6+4 aber mein fa hat gesagt wir werden bis zu nächsten untersuchung warten bis man das Baby richtig messen kann . aber ich hab mich gefreut das alles ok ist


Mitglied inaktiv

Beitrag melden

Antwort auf diesen Beitrag

Super.. herzlichen Glückwunsch GLG Kerstin


Mitglied inaktiv

Beitrag melden

Antwort auf diesen Beitrag

Ich muss noch bis Freitag warten


Mitglied inaktiv

Beitrag melden

Antwort auf diesen Beitrag

Wie schööööön!!! Wenn man das Herzchen sieht, ist das einfach so unglaublich toll!


Mitglied inaktiv

Beitrag melden

Antwort auf diesen Beitrag

wie schön!!! hatte ja heut auch das herzchen schlagen sehen, was für ein unbeschreiblicher Moment!!!


Mitglied inaktiv

Beitrag melden

Antwort auf diesen Beitrag

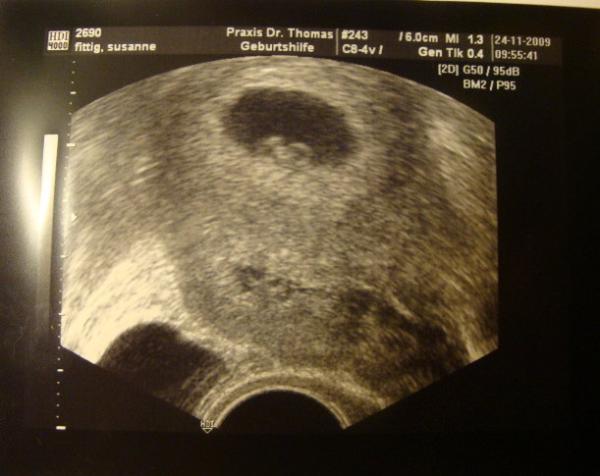
hier ein bildchen von heute

Bild zu