Monatsforum April Mamis 2012

Awww *freu*

Awww *freu*

CJ+CSMama82

Beitrag melden

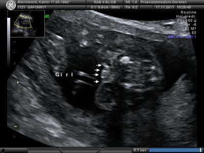
Der FA wo ich heute zur Feindiagnostik war hat mir eben geemailt und 9 weitere Bilder per Email geschickt Oh ich freu mich...Das ist so nett das der das gemacht hat. Den will ich als FA haben! Manno! *hihi* Hier ist das Bild das es ein Mädel ist

Bild zu Awww *freu* - Forum für April - Mamis

soanaz2

Beitrag melden

Antwort auf Beitrag von CJ+CSMama82

Ja, eindeutig....da hängt nichts dran! Find ich ja toll, dass dir der FA die Bilder gemailt hat! Liebe Grüße Sonja


Aprilkugel

Beitrag melden

Antwort auf Beitrag von CJ+CSMama82

Das ist ja cool von ihm! Stimmt kein schniedel zusehen;) lg


Babywunder

Beitrag melden

Antwort auf Beitrag von CJ+CSMama82

Das ist wirklich lieb von ihn. Solche sollte es mehr geben.


Jordan

Beitrag melden

Antwort auf Beitrag von CJ+CSMama82

Jepp, das Bild ist wirklich mehr als eindeutig. Da fehlt was zum Jungen Glückwunsch nochmal! LG Jordan